home
/
Untersuchungen

Iliosakralgelenke

Auf dieser Seite finden Sie ausführliche Informationen zu der Untersuchung der Iliosakralgelenke. Sie erfahren unter anderem, wie die Untersuchung funktioniert und ob Kontrastmittel benötigt wird.

Bei welchen Beschwerden wird die Untersuchung durchgeführt?

  • Schmerzen
  • Entzündung
  • Rheuma
  • Verletzung

Details

3 Tesla MRT
30 Min.
ab
200/300
¹ €
offenes MRT
30 Min.
ab
200/300
¹ €
CT
30 Min.
ab
200/300
¹ €
¹ Untersuchung mit Kontrastmittel
mehr Informationen zu den Preisen

Was erwartet mich bei dieser Untersuchung?

  • Vorbereitung

    Für die Untersuchung der Iliosakralgelenke sind von Ihrer Seite keinen besonderen Vorbereitungen notwendig.

    In einem ausführlichen Aufklärungsgespräch vor der Untersuchung gehen wir auf Ihre konkreten Beschwerden ein und beantworten Ihre offenen Fragen.

    Bitte denken Sie daran (falls vorhanden) eine Überweisung,  Voruntersuchungen oder ggf. Implantatausweise mitzubringen.

  • Durchführung

    In unserer geräumigen und freundlich gestalteten Umkleide wechseln Sie Ihre Alltagskleidung gegen bequeme Untersuchungskleidung.

    Unsere erfahrenen medizinisch technischen Assistent:innen begleiten Sie in den Untersuchungsraum, bringen Sie in die richtige Untersuchungsposition und führen im Anschluss die Untersuchung durch.

  • Nachbereitung

    Ihre Bilder werden von uns im Team sorgsam ausgewertet. Wir demonstrieren Ihnen die Bilder im Anschluss an die Untersuchung verständlich und in aller Ruhe.

    Den Befund übermitteln wir zeitnah digital an Ihre Ärztin bzw. Ihren Arzt. Die Bilder erhalten Sie in elektronischer Form als DVD sowie online auf einem elektronischen Patientenportal.

Ihr virtueller Praxisbesuch

Möchten Sie wissen, was Sie bei Ihrem Besuch bei uns erwartet? Wir nehmen Sie am Beispiel einer Patientin mit auf den Weg durch unsere Praxis.

Zur Fotogalerie

Mit oder ohne Kontrastmittel?

Kontrastmittel ist ein Medikament, das über die Venen verabreicht wird und bei bestimmten Fragestellungen hilfreich sein kann, die Befunde besser zu erkennen und die Diagnosen noch genauer zu stellen.

Viele Untersuchungen lassen sich ohne Kontrastmittel durchführen wie z.B. MRT- oder CT-Untersuchungen von Gelenken. Bei anderen Untersuchungen wie MRT der Prostata, des Herzens und der weiblichen Brust ist eine Kontrastmittelgabe unverzichtbar.

Wir besprechen eine mögliche Kontrastmittelgabe ausführlich mit Ihnen vor der Untersuchung und setzen es grundsätzlich nur dann ein, wenn es unbedingt notwendig ist.

Häufige Fragen

Mit welchem Gerät wird die Untersuchung durchgeführt?

3 Tesla MRT

Die MRT ist ideal zum Ausschluss entzündlicher Veränderungen an den ISG-Fugen.

offenes MRT

Entzündliche Veränderungen der ISG-Fugen lassen sich auch gut im offenen MRT diagnostizieren.

CT

Das CT ist ideal zur Beurteilung der Knochen selbst und bei Knochenbrüchen.

DVT

Das DVT ist nicht zur Untersuchung der Iliosakralgelenke geeignet.

Bildeindrücke

Anatomie

Normale Anatomie der ISG-Fugen.

Trauma

Bruch des Darmbeins links.

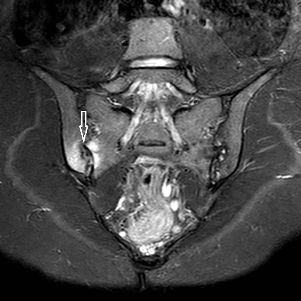
Entzündung

Entzündliche Erkrankung der Iliosakralgelenke.

Noch keinen Termin?

Wir sind gerne für Sie da. Buchen Sie einfach einen Termin bei uns (per Telefon oder direkt online).

Expertenwissen in unserem überörtlichen Team

Dr. med.

Dominik Maas

Praxisinhaber

Neben den hochqualifizierten Fachärzt:innen vor Ort verfügen wir in unserem überörtlichen Team über ausgewiesene Expert:innen, die sich schwerpunktmäßig mit bestimmten Themen beschäftigen und bei Bedarf zusätzlich konsultiert werden. Dazu tauschen wir uns täglich in Videokonferenzen aus.

Zum Profil
Dr. med.

Dominik Maas

Praxisinhaber

Neben den hochqualifizierten Fachärzt:innen vor Ort verfügen wir in unserem überörtlichen Team über ausgewiesene Expert:innen, die sich schwerpunktmäßig mit bestimmten Themen beschäftigen und bei Bedarf zusätzlich konsultiert werden. Dazu tauschen wir uns täglich in Videokonferenzen aus.

Zum Profil

Die Untersuchungskosten werden i.d.R. von der PKV oder Beihilfe erstattet. Die angegebenen Preise sind eine erste Orientierung für GKV-Versicherte als Selbstzahler. Die genauen Kosten hängen von der Fragestellung und dem tatsächlichen Untersuchungsaufwand ab.

Zurück nach oben